Kapcsolat Fogfájástól szenvedő betegeinket soron kívül fogadjuk! 1052 Budapest, Párizsi u.1. 00 36/1-266-1611, 00 36/1-235-0760
Rendelési idő: Hétfőtől Csütörtökig 09:00-13:00, 14:00-19:00

Azonnali Terhelésű Implantátumok

Forradalmi változás a fogászati implantológiában a Dental Centernél! Hazánkban az elsők között alkalmazzuk az azonnali terhelésű IHDE svájci implantációs rendszert.
Főbb előnyei a hagyományos implantációkhoz képest:
  • gyorsaság - 72 órán belül az implantátumra korona kerül
  • biztonságos - extrém sorvadt állcsontoknál, cukorbetegeknél és dohányosoknál is alkalmazható

Őszinte vallomások az azonnal terhelhető IHDE implantációs technikáról!

Még több interjú megtekintése!

Érdeklődőknek ingyenes vizsgálatot, panoráma röntgen kiértékelést és árajánlatot biztosítunk!

Írjon nekünk!

Azonnali terhelésű és hagyományos impantátumok összehasonlító táblázata


IHDE azonnali terhelésű implantáció Hagyományos implantáció
0. nap Diagnosztika (panoráma röntgen, Cone Beam CT, lenyomat, kezelési terv) Diagnosztika ( panoráma röntgen, Cone Beam CT, lenyomat, vérvétel, kezelési terv)
1. nap Foghúzások, gyökéreltávolítások, implantátumok azonnali behelyezése, lenyomatvétel a rögzített fogpótláshoz. Foghúzások, gyökéreltávolítások,az íny felvágása, szükség esetén csontpótlás, sinus emelés, sebek összevarrása, kivehető protézis.
2. nap Vázpróba
FÉL ÉVES GYÓGYULÁSI IDŐ a kivehető fogsorral.
3. nap A végleges híd (1-3 fog húzása esetén) vagy a hosszú távú ideiglenes híd rögzítése (3-nál több fog eltávolítása esetén).
4. nap
FÉL ÉVES GYÓGYULÁSI IDŐ a rögzített hosszútávú ideiglenes hidakkal.
181. nap Lenyomatvétel Az íny felvágása, implantátumok behelyezése, hosszú távú ideiglenes fogsor rögzítése
182. nap Pihenés
FÉL ÉVES GYÓGYULÁSI IDŐ
183. nap Vázpróba
184. nap Fogpróba
185. nap
Távozás végleges fogsorral
365. nap Vázpróba
366. nap Fogpróba
367. nap
Távozás végleges fogsorral
Kezelés időtartama 4 vagy 185 nap 185 vagy 367 nap
Kezelések száma 3-8 alkalom 8-25 alkalom

Az IHDE előnyei összefoglalva

Gyors

Gyors
72 órán belül az implantátumra korona kerül, nem kell fogatlanul várni a műcsont gyógyulása miatt, 3 nap után már szilárd ételt rághat, nem szokik el a harapásától, megmarad az arcformája, nem lesz fogatlan.

Biztonságos

Biztonsagos
Extrém sorvadt állcsontoknál, több fog eltávolítása esetén is, cukorbetegeknél és dohányosoknál is alkalmazható, amikor a hagyományos implantáció vagy csontbeültetés sikertelen volt, nincs csontbeültetés és nem kerül idegen csont a szervezetébe.

Kevés fájdalom

Smile figura
Feltárás nélküli behelyezés, kevesebb időt tölt az érintett személy a fogorvosnál, másrészt, minimális a behatoló fizikai beavatkozás és kisebb az összműtéti terhelés, ami a fájdalmakat is minimalizálja.

Kedvező ár

Pénz ikon
A gyorsasággal időt spórolunk meg, nem kell annyit a fogorvoshoz utazni, nincs költséges csontbeültetés, a fogorvosok által nyújtott csomag ajánlatokkal pedig akár 45%-kal olcsóbban kaphatja meg az implantátumokat, a mennyiségi kedvezmények miatt.

Az azonnali terhelésű implantátumok indikációi:

  • bármilyen súlyos foghiány esetén, vagy, ha sok fogat kell kihúzni
  • amikor a hagyományos implantáció illetve csontbeültetés sikertelen volt
  • bármilyen súlyos csonthiány vagy csontsorvadás esetén
  • dohányzás esetén is
  • súlyos cukorbetegség esetén is

Amit az Ihde Azonnal Terhelhető Implantátum Rendszerről tudni érdemes

Ihde behelyezési dőlésszögek Gyors, biztonságos, kevesebb fájdalommal jár, továbbá kedvező ár-érték arányú! Így jellemezhetnénk legjobban az Ihde Azonnal Terhelhető Implantátumokat, ami már önmagában elég ahhoz, hogy világszerte több mint 100000 páciens választotta a 21. századi orvostudomány egyik legmodernebb fogpótló eljárását.

A svájci cég több, mint 60 éves tapasztalatának és Stephan Ihde Professzor fejlesztéseinek köszönhetően, az elmúlt 10 évben robbanásszerűen megnőtt az így implantált betegek száma.

Sikerét mindenekelőtt a gyorsaságának köszönheti, hiszen a mai rohanó világban kinek van ideje, kedve fogatlanul otthon ülni heteket, hónapokat a fogpótlásra várva? Az Ihde implantációs eljárás során a páciens azonnal, de legkésőbb 72 óra múlva egy rögzített (tehát nem mozgó, nem kivehető) pótlással hagyja el a rendelőt. Ez az egyedülállóan gyors eljárás annak köszönhető, hogy azonnal tudunk implantálni szinte bárhova, akár foghúzás után is, továbbá a művelet nem jár nagy feltárásokkal, nincs szükség csontbeültetésre, így a gyógyulás folyamata is nagyon gyors és a beültetés technikájának köszönhetően maximum 72 óra múlva a korona is feltehető. Tehát ennyi idő alatt foga lesz a betegnek és az implantátum azonnal terhelhetővé is válik.

Az eljárás mellett szól az is, hogy nagyon biztonságos. A cég adatai alapján a beültetett implantátumok 98.2%-a sikeres. Az azonnali terhelésű implantátumokkal rögtön, akár foghúzás után is szinte bárhová lehet implantálni, bárkinek, legyen szó cukorbeteg, dohányos, vagy akár csontritkulásban szenvedő páciensről. Ennek köszönhető, hogy a betegek 99%-ánál alkalmazható a módszer.

A gyorsaság, a biztonság mellett, a lehető legkevesebb elszenvedett fájdalom jellemzi még az Ihde fogpótló rendszert. Egyrészt, kevesebb időt tölt az érintett személy a fogorvosnál, másrészt, minimális a behatoló fizikai beavatkozás és kisebb az összműtéti terhelés, ami a fájdalmakat is minimalizálja.

Ihde implantátum típusok

Ihde Dental Nanos fiola A kedvező ár-érték arányú is a pótlás, hiszen a gyorsasággal időt spórolunk meg, nem kell annyit a fogorvoshoz utazni, nincs költséges csontbeültetés, a fogorvosok által nyújtott csomag ajánlatokkal pedig akár 45%-kal olcsóbban kaphatja meg az implantátumokat, a mennyiségi kedvezmények miatt.

Természetesen, az Ihde Azonnal Terhelhető Implantátum Rendszer alkalmazása speciális szaktudást igényel, így elengedhetetlen az orvosok gondos és folyamatos képzése. Ez, illetve a kiváló minőségű svájci alapanyagok és a sok évtizedes, precíz, innovatív gyártási technológia együttese adja, hogy a cég kiemelkedően magas (98,2%-os) sikert ér el, az Ihde implantátumok bent maradásának mérésekor.

Forrás: http://ihdesmile.hu/, The Journal of the American Dental Association (2011.03.29.) valamint International Implant Foundation és Dental Spiegel (2009/1-2)

Esetbemutató


  • esettanulmany-01
    Implantáció előtt, gyulladt, törött fogak.
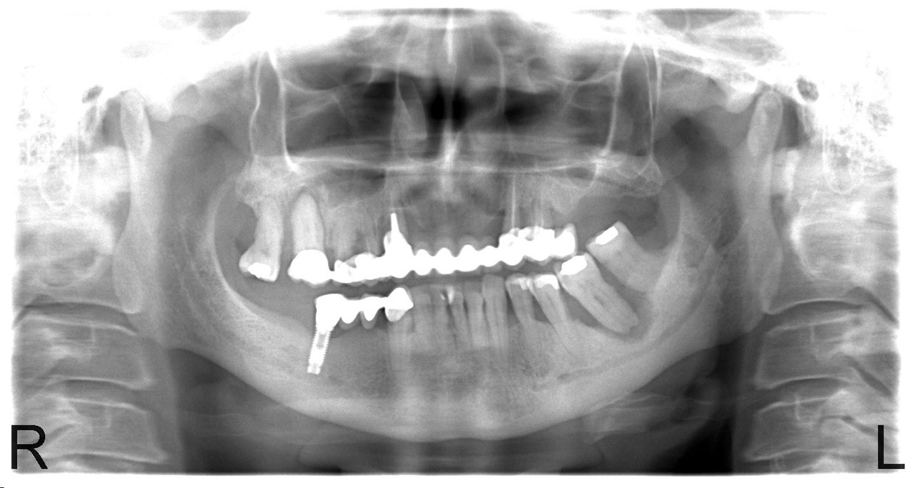
  • esettanulmany-03
    Imlantáció után,bal oldalon már a végleges hidakkal, jobb oldalon még csak az implantátumok.
  • esettanulmany-04
    Impantáció előtt, súlyos fogágy pusztulás, gyulladás látható.
  • esettanulmany-06
    Impantátumok a végleges híddal.
  • esettanulmany-07
    Teljes fogatlanság.
  • esettanulmany-14
    Alsó- felső fogatlan állcsont teljes implantációs helyreállítása.
  • esettanulmany-08
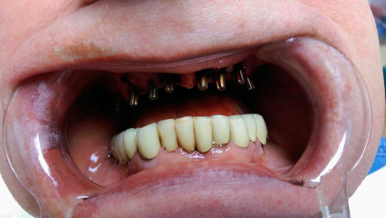
    Műtét másnapján, implantátumok a szájban.
  • esettanulmany-09
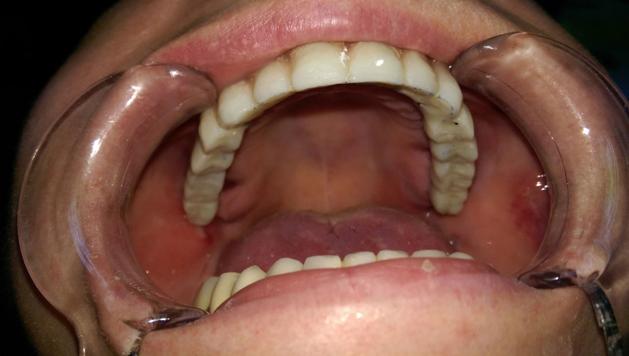
    Így néz ki a hosszútávú ideiglenes híd.(Fém vázzal erősített műanyag híd.)
  • esettanulmany-11
    Szájban a hosszútávú ideiglenes híd.(Fém vázzal erősített műanyag híd.)
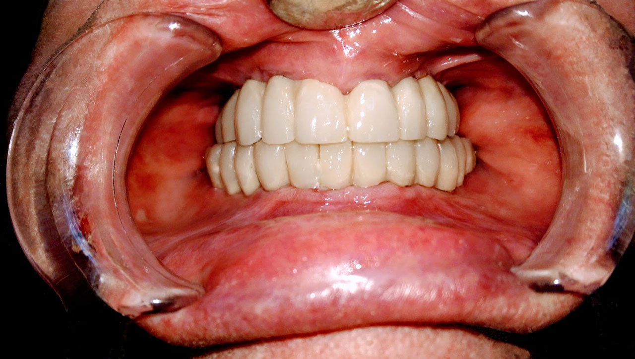
  • esettanulmany-12
    72 órával az alsó-felső állcsont teljes implantációs helyreállítása után, így mosolyog a páciens a beragasztott, fix hidakkal.
  • esettanulmany-15
    Nagykiterjedésű foghiány, és rossz gyökerek a felső állcsontban.
  • esettanulmany-34
    A felső állcsont teljes implantációs helyreállítása.
  • esettanulmany-16
    Mozgó műanyag híd és kiterjedt foghiány a műtét előtt.
  • esettanulmany-31
    72 órával az implantáció után már szájban a hosszútávú ideiglenes híd.(Fém vázzal erősített műanyag híd.)
  • esettanulmany-32
    72 órávan a felső állcsont teljes implantációs helyreállítása után, így mosolyog a páciens a beragasztott, fix hiddal.
  • esettanulmany-35
    Gyulladt fogak, mozgó híd és nagykiterjedésű foghiány.
  • esettanulmany-46
    A felső állcsont teljes implantációs helyreálítása.
  • esettanulmany-36
    Műtét másnapján, implantátumok a szájban.
  • esettanulmany-40
    Így néz ki a hosszútávú ideiglenes híd.(Fém vázzal erősített műanyag híd.)
  • esettanulmany-41
    Így néz ki a hosszútávú ideiglenes híd. (Fém vázzal erősített műanyag híd.)
  • esettanulmany-42
    Így néz ki a hosszútávú ideiglenes híd. (Fém vázzal erősített műanyag híd.)
  • esettanulmany-43
    Így néz ki szájban a hosszútávú ideiglenes híd.(Fém vázzal erősített műanyag híd.)
  • esettanulmany-44
    Így néz ki szájban a hosszútávú ideiglenes híd.(Fém vázzal erősített műanyag híd.)

Címünk:

1052 Budapest, Párizsi utca 1. II. emelet 10.
Kapucsengő: 37.

Útvonaltervező

Vezetékes:

Telefon: ,

Mobil:

00 36/1-266-1611
00 36/1-235-0760

Mobil:

00 36/30-951-88-77

Rendelési idő:

hétfőtől csütörtökig 09:00-13:00, 14:00-19:00.

Elérhetőségeink

Email cím:

kelemen@dentalcenterkelemen.hu

Üzenet írása