Kapcsolat Fogfájástól szenvedő betegeinket soron kívül fogadjuk! 1052 Budapest, Párizsi u.1. 00 36/1-266-1611, 00 36/1-235-0760
Rendelési idő: Hétfőtől Csütörtökig 09:00-13:00, 14:00-19:00

Híreink

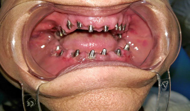
Új esetbemutató képekkel bővült a weboldalunk

Az elmúlt fél év néhány IHDE azonnal terhelhető implantációjáról készült fotósorozatunkat ezen a linken találja.
Várunk minden kedves érdeklődőt, tapasztalt fogorvosaink fájdalommentesen segítenek.
Írjon a Ez az e-mail-cím a szpemrobotok elleni védelem alatt áll. Megtekintéséhez engedélyeznie kell a JavaScript használatát. e-mailre, vagy hívjon minket a 0036/1-266-1611, 0036/30951-88-77 telefonszámon.

Azonnal terhelhető implantátum szájba helyezés közben

Esetbemutatók

Oktatói oklevél Dr. Kelemen András

Dr. Kelemen András 2016-ban Magyarországon egyedüliként sikeresen elvégezte a Nemzetközi Implantáció Szövetség (International Implant Foundation).
Fogászati Implantológia és Azonnali Terhelésű Implantációs Rendszer oktatói kurzusát, így Magyarországon egyedüliként oktatja, az azonnali terhelésű implantációs rendszert.
Ezen felül folyamatosan tart előadásokat fogorvosi továbbképzéseken, valamint rendez bemutató implantációs műtéteket.

http://www.implantfoundation.org/de/wir-ueber-uns/ausbilder

Egy kicsit rólunk…

Az emberek többségére sajnos jellemző, hogy bizony félnek kicsit a fogorvostól.

Ezért, itt a Dental Center Fogorvosi Rendelő​ben fontos feladatunknak érezzük, hogy mindennemű szorongást eloszlassunk, így a fogászati szűrés és ellátás valóban kikapcsolódást jelent majd pácienseink számára. Minden munkatársunk vallja, hogy nem a betegséget, hanem a beteget hivatott gyógyítani. De mit jelent ez pontosan? Odafigyelést és törődést, hiszen az emberi szervezetben a test és a lélek elválaszthatatlan, komplex egészet alkot.

Bővebben

Elégedettség- mérés, Minőségbiztosítás


A Dental Center Fogorvosi Rendelőben igen nagy hangsúlyt fektetünk pácienseink elégedettségének mérésére, hiszen számunkra az a legfontosabb, hogy a hozzánk látogatók kellemes élményként élhessék meg a fogászati kezeléseket! Ezért minden új- és visszatérő páciensünk számára biztosítunk olyan platformot, ahol kommunikálhatja véleményét akár névvel, akár név nélkül- hiszen minden észrevételből tanulunk, így -hála Önöknek- egyre tökéletesíthetjük szolgáltatásaink minőségét! Kézfogás

Bővebben

Kezelés előtt még fogat mosna?

Kezelés előtt még fogat mosna? A fogkefe automata 200 Ft.-ért igénybe vehető."

Fogkefe automata

Gratulálunk!

Ezúton is szívből gratulálunk Kelemen András Doktor Úrnak, a kiemelkedő eredménnyel teljesített Integratív Hipnoterápia képzés elvégzéséért!

Hazánkban jelenleg igen kevés orvos, fogorvos és pszichológus rendelkezik hasonló végzettséggel, valamint a “hipnózis alkalmazása az egészségügy területén” a legtöbb emberre újdonságként hat.

Bővebben

Dental Center a WorldClass rendezvényén

Június 2-án rendelőnk is részt vett a WorldClass Fitness által szervezett Családi Sportnapon. Rajzfilmet vetítettünk, kuponokat és  fogkrémeket ajándékoztunk, valamint szájápolási tanácsokkal láttuk el az apró népet! Köszönjük a lehetőséget és az élményt!

Szívből gratulálunk, Főorvos Úr!


Kedves Pácienseink!
Büszkén értesítjük Önöket, hogy a Dental Center Fogorvosi Rendelő alapítója, Dr. Kelemen Pál Főorvos Úr a mai nappal sikeres Dento-alveoláris sebészeti szakvizsgát tett!

Bővebben

Főorvos Úr szereplése a TV2-n (video)

Nemrég a TV2 Aktív című műsorának stábja forgatott rendelőnkben. A riport fő témája természetesen a hipnotikus kommunikáció alkalmazása a gyógyításban. A TV2 munkatársai bizony meglepő, egyedülálló élményekkel távoztak Rendelőből! A riport az alábbi linkre kattintva megtekinthető. A hipnózist szorongás oldására és fájdalom csillapítására alkalmaztuk.

Bővebben

Kedvezményes parkolás a belvárosban!

Használja ki, hogy rendelőnk fizeti Ön helyett az első óra parkolási díjat az utcán, vagy a parkolóházaban, ha felmutatja forgalmi engedélyét.
Ha Budáról jön:
Ajánlott parkolóhely: Erzsébet híd, pesti hídtfő alatt
Ajánlott Parkolóház: Franklin Parkolóház
Ha Pestől jön:
Ajánlott parkolóhely: Rakpart
Ajánlott Parkolóház: Aranykéz Garázs

Címünk:

1052 Budapest, Párizsi utca 1. II. emelet 10.
Kapucsengő: 37.

Útvonaltervező

Vezetékes:

Telefon: ,

Mobil:

00 36/1-266-1611
00 36/1-235-0760

Mobil:

00 36/30-951-88-77

Rendelési idő:

hétfőtől csütörtökig 09:00-13:00, 14:00-19:00.

Elérhetőségeink

Email cím:

kelemen@dentalcenterkelemen.hu

Üzenet írása